-
Festoon Surgery
- Blepharoplasty
- Droopy Eyelids – Ptosis
- Festoon Surgery
- Thyroid Eye Disease
- Eyelid Revision Surgery
- Brow Lift
- Chin Implant
- Facelift
- Facial Reconstruction
- Laser Skin Resurfacing
- UltraClear™ Laser
- Lip Lift
- Liposculpture
- Mid Facelift
- Mini Facelift
- Neck Lift
- Synergy Lift
- ThermiTight
- WNatural Micromidfacelift™
- BOTOX®
- Fillers
- Tear Trough Filler
- BBL (IPL Treatments)
- Clear & Brilliant
- Hetter Peel
- Revitalash (& Other Topicals for Lash Enhancement)
- Microneedling
- Neck Firming
- Peels and Microdermabrasion
- Radiofrequency Microneedling (Morpheus8)
- Sculptra
- Hairline Lowering
- PRP for Hair Loss
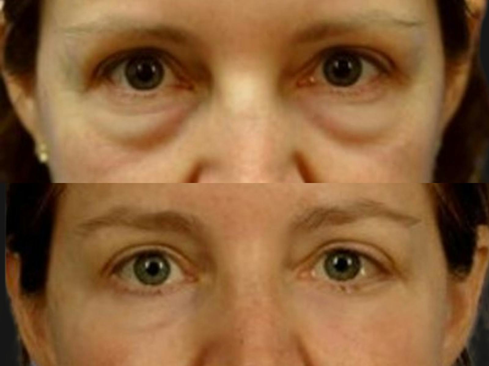
Festoons of the lower eyelid and midcheek treated with lower blepharoplasty, dual erbium laser resurfacing, and fat transfer.
























